Please join us for a complimentary ...

Dinner With The Experts

"The Predictable Path To Patient Loyalty: Achieve Maximum Cosmetics With E.max Press - Learn The Bonding Techniques of the Pro’s"

Date: Thursday, December 4, 2025
 
Time: 6:00 PM Registration || 6:30 PM Ivoclar Expert Presentation and Dinner (Part 2)
 
Location: PRO-Craft Dental Laboratory, 25791 Jefferson Ave, Murrieta, CA 92562
 
RSVP Today →

You are invited to a complimentary dental workshop (2 CE credits) and dinner. You can expect to meet other successful dentists and learn new ways to build a better dental practice. 

Discover How To:

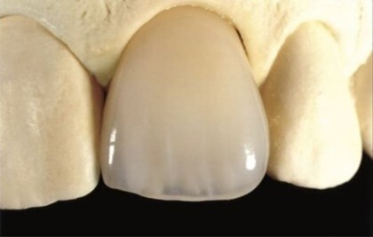
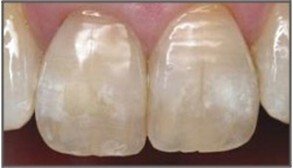
  • Ensure Natural Integration: The lifelike "chameleon effect" of e.max allows restorations to adapt seamlessly to natural tooth structure. No surface staining for translucency only full layered ceramic.
  • Improve Shade Selection: Learn a step-by-step processes for consistent results. As one dentist noted: "Perfect case! I didn't have to adjust a thing!"
  • Master Versatile Applications: Use a material that's reliable and can be used for the most demanding esthetic challenges. Bridgework, Veneers, Full coverage. Master the esthetic zone.
  • Eliminate Poor Lab Quality: Working with your own personal dental tech in the USA, trained in the techniques of master Swiss ceramists, for less than you may be paying now.
  • The Best Cementation Protocol: Don’t guess what to do when the tooth prep is dark and shows through.
  • Prep for Predictability: Master the best tooth preparation for each material you use.

As all-ceramic materials evolve, mastering e.max press delivers the natural life-like appearance and durability that builds patient loyalty and referrals. This comprehensive workshop reveals the proven techniques behind more than 200 million restorations using IPS e.max materials worldwide.

Complimentary Dinner & Workshop. Seating is limited. RSVP required. 

Early bird deadline: November 7, 2025—Receive $50 Gift when you respond today!

Reserve Your Seat Now
logoSmall

As an industry leader in CAD/CAM technology, we have taken the fabrication of digital restorations to a new & exciting level of service.

25791 Jefferson Ave, Murrieta, CA 92562
info@pro-craft.com 
877-484-3522

Search The Site